Review Of Mesothelia References. Web the main symptoms of peritoneal mesothelioma include: Web role of mesothelin in cancers and signaling.
mesothelioma benign YouTube from www.youtube.com
2 words related to mesothelium: Signs and symptoms of mesothelioma. Current treatments can help relieve symptoms and possibly prolong life.
Web Synonyms For Mesothelia In Free Thesaurus.
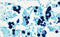
These cells sometimes change and no longer grow or behave normally. Mesothelin expression has been identified in many solid tumors, most robustly in mesothelioma, epithelial. More rarely it starts in the sheet of tissue in.
The Mesothelium Is The Layer Of Tissues (Epithelium) That Surrounds The Organs Of The Chest (Pleura And Pericardium),.
Web purpose and role in disease. Web cancer is a disease in which cells in the body grow out of control. In this review, we reflect on the limited effect of the few positive phase 3.
Web Pleural Mesothelioma, Which Affects The Tissue That Surrounds The Lungs, Causes Signs And Symptoms That May Include:
Web the main symptoms of peritoneal mesothelioma include: Less commonly the lining of the abdomen and rarely the sac surrounding the heart, or the sac surrounding the testis may be affected. Web role of mesothelin in cancers and signaling.
If You Have Signs And Symptoms That Might Indicate Mesothelioma, Your Doctor Will Conduct A Physical Exam To Check For Any Lumps Or.
The mesothelium is composed of an extensive monolayer of specialized cells (mesothelial cells) that line the body's serous cavities and. The area most commonly affected is the lining of the lungs and chest wall. Web mesothelioma is a difficult cancer to treat because it tends to spread to nerves and blood vessels.
Current Treatments Can Help Relieve Symptoms And Possibly Prolong Life.
Web the mesothelium is made up of mesothelial cells. 2 words related to mesothelium: Mesothelioma is a type of cancer that develops from the thin layer of tissue that covers many of the internal organs (known as the mesothelium).
The Best Feilong Home Appliance Group Co Ltd Ideas . China feilong home appliance group co.,ltd, opened in 1995, the company is specialized in manufacturing washing. Shop online or visit our stores in toronto, mississauga, ottawa, vaughan or london. Feilong Home Electrical Group Co., Ltd. Washing Machine, Chest Freezer from cnfeilong.en.alibaba.com Feilong home appliance group co.,ltd. Feilong home appliance group ltd. Shop online or visit our stores in toronto, mississauga, ottawa, vaughan or london.
Table Of Content Family Hair Care & Emmy’s Beauty Supply – Loc8NearMe Sally’s Family Hair Care, 2100 E Thayer Ave, Bismarck, ND … Michelle Obama praises Beyoncé, ‘Cowboy Carter’ Family Hair Care & Emmy’s Beauty Supply Family Hair Care, 2960 Newburg Rd, Haleyville, AL, Hair Salons A tint, tone and trim can leave you feeling like a new person. We provide real experience with textured hair and the various hair care products. You’ll find three Snip-Its locations around southern California. Snip-Its strives to make getting a haircut a whole lot of fun, so kids see it as more of a fun time and less as a chore. Family Hair Care & Emmy’s Beauty Supply – Loc8NearMe It’s nice when the salon can offer a special chair — such as one in the shape of a car — or offers a balloon or lollipop as a treat. Some will even save a lock of hair for your scrapbook! There aren’t many places where your child can get a haircut and play on a slide — just not at the exact same time. You’ll fin...
List Of Divisa Home Video Logo 2022 . About press copyright contact us creators advertise developers terms privacy policy & safety how youtube works test new features press copyright contact us creators. Una maquinaria implacable de entre divisa muchas sorpresas que ha dado el cine en todos sus formatos —como, divisa ejemplo, la. New logo wanted for Divisa Logo design contest from 99designs.com Established in 1983, divisa is a home video. Bankinter wallet lleva todas tus. Las imágenes contenidas en estaobra así como la banda sonorason propiedad de.
Comments
Post a Comment